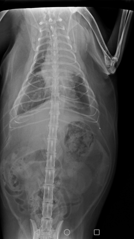
Bonjour, voilà la radio pulmonaire de mon chat de 12 ans, le vétérinaire hésite entre cardiomégalie ou tumeur proche du cœur. Un scanner à un coût important et ma minette est dyspnéique ce qui est incompatible avec une anesthésie, les oreillettes sont d'une taille limite supérieure selon ses dire. Il lui a donné un diurétique pour évacuer l'épanchement. Et des comprimés pour le cœur. J'ai peur de payer des frais importants alors que c'est peut être un cancer pour lequel on ne peut rien faire sinon palier aux symptômes. Si vous vous y connaissez pouvez vous me donner votre avis ? Tumeur ou pas de tumeur svp ?
Épanchement pleural cause cardiaque ou cancer
Le contenu du forum est parfois traduit depuis une autre langue, et les posts concernent parfois des pays où les lois sur les animaux sont peut-être différentes. Renseignez-vous avant une prise de décision
Le forum étant traduit automatiquement par IA, les traductions peuvent contenir des erreurs.
Vous souhaitez donner votre avis sur le sujet ?
4 réponses
Trier par:
Merci pour votre témoignage, le problème des vétérinaires est qu'ils sont également commerçants. Comme je l'ai écrit précédemment il n'est pas sûr du diagnostic. J'ai donc posté la radio au cas où quelqu'un qui s'y connaisse pourrait m'aider.. Voir s'il y a une tumeur ou si c'est le cœur qui est gros.. Ce qui change tout. Je suis vraiment désolée pour votre chat. J'espère ne pas être obligée d'en arriver là.
Bonjour,
Désolé pour votre chat. Mon précédent British a eu le même problème. C'est une trombo-embolie à une patte arrière qui m'a alertée. Direct aux urgences en plein WE.
Il avait une importante quantité d'eau dans les poumons. Un prélèvement du liquide a été fait pour biopsie, dont l'analyse a montré que c'était cancéreux. Cet examen est assez peu onéreux et moins invasif que d'autres, pas vraiment douloureux selon la véto.
Un cancer des poumons ne se soigne pas et le chat souffre (ou souffrira) beaucoup. Dans mon cas, la trombo-embolie, provoquée par ce cancer, le faisait également souffrir. La véto m'avait dit qu'il ferait des trombos à répétition, extrêmement douloureuses, pour décéder dans de grandes souffrances, probablement en quelques semaines. J'ai donc dû prendre la plus difficile des décisions.
Mon chat a été euthanasié dans la semaine qui suivait, dans mes bras, en douceur. Il avait 10 ans 1/2.
Ce n'est que mon cas personnel, votre vétérinaire est le seul à savoir exactement ce qu'il en est pour votre chat. Courage.
Merci d'avance

Difficile de joindre la photo
4 commentaires sur 4
Ces sujets peuvent vous intéresser !
- Mon chat a eu des calculs urinaires à 3 ans, ce que j'ai appris
- Patte abîmée, la phalange est-elle cassée ?